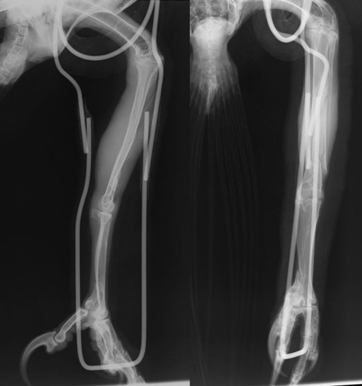
Golden Eagle 18-612
Above, Nicole recovers a fledgling Golden Eagle from anesthesia. Hunters found the starving eagle near Yakima. Radiographs documented a fractured humerus and a shattered tibiotarsus. In addition to being extremely emaciated, blood work revealed a severe anemia. The humerus fracture is healing and is already fairly stable. The tibiotarsus fractures would be difficult to repair surgically, and the eagle is not a good surgical candidate in his current condition. With that in mind, we opted to use a Thomas Schroeder splint to stabilize the fractures. Below are radiographs of “before” and “after” the leg was splinted.
The eagle’s fractures are not life-threatening, but he is very ill due to his extreme emaciation. The next few days will be critical.
Common Nighthawk 18-613
Two more Nighthawks were admitted this past week making a total of three currently in care. The first, admitted two weeks ago is recovering from metacarpal fractures in its right wing. The two admitted this past week both have shoulder injuries. The Nighthawk in the photo above also has ruptures in multiple air sacs - he/she was blown up like a balloon and we used a large gage needle to deflate the bird! It is also missing all its tail feathers.
Nighthawks do not self-feed in captivity and are typically force fed at rehab centers. Force feeding is stressful. Rehabbers go to great lengths to minimize stress. With that in mind, I always try and condition Nighthawks to open their mouths when I whistle so I can place a meal worm in their mouth. Amazingly, all three Nighthawks are willingly opening their mouths to be fed. Ya gotta love the small victories!
Osprey 18-605
BMW serves a huge geographic area. Of the 16 birds admitted this past week, two came from Pendleton, one from Hermiston, one from Boardman and one from La Grande. The remaining were Washington birds. Five were found in the Tri-Cities area (at least 70 miles from Pendleton), one came from Prosser, three came from the Yakima area (150 miles). A Cooper’s Hawk traveled to Yakima fromWinthrop and then Pendleton for a total of 360 miles.
Osprey 18-605 traveled 300 miles from Mazama, WA to Pendleton. He had been tangled in baling twine for some time. A radiograph revealed a partially healed fracture above the hock joint. Time will tell if there has been irreversible damage to the circulation and nerves.
Riverfest
We ended the week at the first annual Riverfest at Columbia Park in Kennewick. It was a beautiful day in the park!







