Raptor Week
There were seven new admissions this past week: a Long-eared Owl, an American Kestrel, a Cooper’s Hawk, a Rough-legged Hawk and three Red-tailed Hawks. The owl was found hanging in a barbed-wire fence near Waitsburg, WA. There was a long tear in the skin on the underside of its left wing. After a thorough cleaning and flushing, the wound was closed with 10 staples. The bandage will be changed for the second time on Monday. We should have a pretty good idea of how the wound is healing then.
Rough-legged Hawk 21-011
Rough-legged Hawks nest in the Arctic tundra, and winter here in the relatively balmy Pacific Northwest. We admit just one or two a year so it is particularly sad when we find they have been shot. Such was the case for 21-011. The hawk’s right humerus was shattered mid-shaft. There was extensive damage to the right shoulder and elbow. Euthanasia was the only humane option.
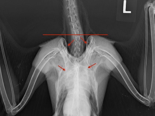
Cooper’s Hawk 21-014
Cooper’s Hawks hunt other birds. If you feed songbirds in your yard, you may also attract a Cooper’s Hawk. A common cause of injury in Cooper’s Hawks is collision with a window, often while chasing prey. 21-014 flew into a window at a Kennewick Fire Station, injuring her right shoulder. If you look at the horizontal line in the radiograph below you will notice that the right shoulder is lightly lower than the left shoulder. The upper arrows are pointing at the top of the scapulas. The right scapula is lower than the left scapula. The bottom arrows are pointing at the base of the coracoids where they attach to the sternum. The right coracoid is dislocated and lower than the left coracoid.
Coracoid fractures and dislocations are a fairly common shoulder injury. There are currently five other birds recovering from coracoid injuries at BMW: another Cooper’s Hawk, a Red-tailed Hawk, a Barn Owl, a Great Horned Owl and a Bald Eagle.
Red-tailed Hawk 21-010
21-010 was hit by a car near Prosser, WA. The collision dislocated his right coracoid. But that was just the beginning. The hawk had a healed fracture in his right clavicle.
His lower beak had been broken and was very overgrown as a result. His beak was coped while he was under anesthesia. It will likely take several more copings before it begins to look normal.
And finally, the hawk had a crooked toe on his left foot that was the result of a gunshot injury. He had been shot some months ago and recovered. Even with a horribly overgrown beak and a mostly nonfunctional left halux (the grabber toe) the hawk was in good body condition. All this before his first birthday.
Thank You Team BMW
As is always the case, we had lots of help this past week. Thank you to volunteers Bill, Denise, Kenny, Janie, Judy, Laurel, Mary, Michele, Nanette and the wonderful people at Animal Clinic East in Walla Walla and Pendleton Veterinary Clinic.







