Another Quiet Week
Fortunately, it was a quiet week with just two admissions. A Western Screech Owl flew into a window in Walla Walla. He was able to be released near where found after just a few days of care. Below, Bob and Effie anesthetize the owl prior to a physical exam.
Red-tailed Hawk 18-018
An adult Red-tailed Hawk was found near Echo, OR. A radiograph showed that he had been shot. The wound was two or three weeks old, explaining why the hawk was so thin. The damage was too extensive to repair and he was humanely euthanized.
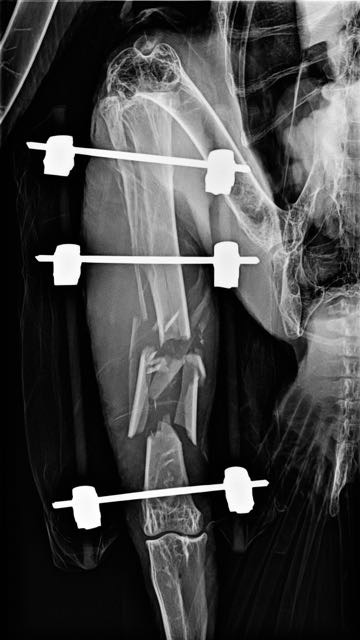
Bald Eagle 18-016 Update
Dr. Katie Yackley, Pendleton Veterinary Clinic, repaired the broken leg of the adult Bald Eagle from Enterprise. She placed three pins perpendicular to the long axis of the bone, two above the fracture and one below the fracture. The pins are connected by rods (that don’t show on the radiograph) on either side of the leg. This method of stabilization allows traction to be used to align the multiple pieces of broken bone.
The eagle is able to stand briefly, using his broken leg to balance, but is spending most of his time lying down. The surgery didn't affect his appetite. He has been eating voraciously.
Bald Eagle 18-006 Update
After three courses of chelation, the eagle’s blood lead level is 13.7 micrograms/deciliter, down from 813. She is now able to keep liquids down, but still has no interest in solid food. As she begins her fourth week of treatment, we have a glimmer of hope that she will recover. At this point, there is no way of knowing the extent of the damage caused by the high level of lead.







